Radiant Dental Studio
A woman giving a thumbs-up gesture against a plain background.

Smile Gallery

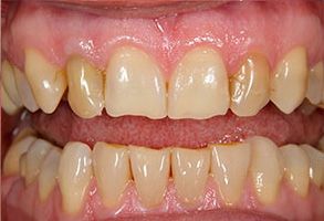
The image shows a close-up of a person s teeth with a yellowish hue, suggesting discoloration or staining.

Before

The image shows a close-up of a person s smiling face, focusing on their teeth and mouth.

After

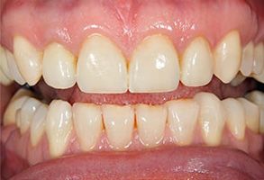
An image of a close-up view of a person s teeth with an overbite, showcasing yellowing and staining, set against a plain background.

Before

The image shows a close-up of a person s teeth with visible staining and discoloration, which suggests poor oral hygiene.

After

The image shows a close-up of a person s face with a focus on their teeth, which are white and appear to be in good condition.

Before

The image shows a close-up of a person s face with a wide smile, revealing white teeth and a full beard.

After

The image displays a close-up of a person s teeth, with the focus on the lower front teeth and gumline, showcasing a dental implant or artificial tooth in place of a missing natural tooth.

Before

The image shows a close-up of a person s teeth, with the focus on a set of white teeth and gums.

After

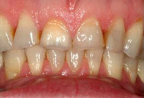
Image of a close-up view of a person s teeth with visible staining and yellowing, showing the upper front teeth.

Before

The image shows a close-up view of a person s teeth, which appear to be in the process of being whitened or straightened.

After

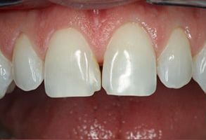
The image shows a close-up of a person s teeth with a focus on the front, where there is an area of discoloration or staining.

Before

The image shows a close-up of a person s teeth with a focus on the lower front teeth, which are prominently displayed and appear to be well-maintained.

After

Dental implant with a visible screw, showcasing the process of dental restoration.

Before

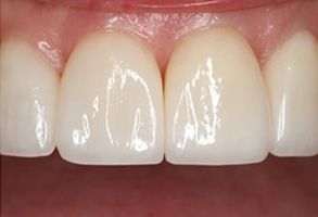
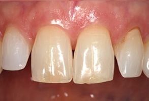
The image shows a close-up view of a person s teeth, with the focus on the upper front teeth, which appear to be white and possibly have some minor staining or discoloration.

After

The image shows a close-up of a portion of a blue sky with a few clouds, and there is a small section of what appears to be a body of water at the bottom.

Our Services

Learn More

New Patients

Learn More

Request an Appointment

Start Today

Contact Info

58-47 Francis Lewis Blvd
Suite 102A
Bayside, NY 11364
Existing Patients: (718) 224-3001
New Patients: (718) 412-9659

Office Hours

Monday
9:00 AM - 5:00 PM
Tuesday
9:00 AM - 5:00 PM
Wednesday
9:00 AM - 5:00 PM
Thursday
Closed
Friday
Closed
Saturday
9:00 AM - 5:00 PM
(Alternating Saturdays)
Sunday
Closed